Mikroskopická endodoncie BrnoOšetření kořenového kanálku zubuZubní ordinace Brno - MUDr. Tomáš SojkaDENTAMEDIKA.cz
|
Zánět zubní dřeně
Zánět zubní dřeně je jedním z nejobávanějších a nejbolestivějších postižení zubu. Pokud zubní kaz překoná hranici skloviny a zuboviny, šíří se pak poměrně rychle do centra zubu - k zubní dřeni.
Zubní dřeň je vazivová tkáň obsahující nervově-cévní svazek. Na mikrobiální infekci reaguje zánětem,
rozšiřují se přívodné tepénky, vzniká otok a jsou utlačovány odvodné žilky, které procházejí velmi úzkým otvorem na hrotu kořene. Tím se tlak ve dřeni zvyšuje a nervová vlákna jsou kromě složek zánětu drážděna i mechanicky. Bolest je pak velmi intenzivní a lze jen těžko označit příčinný zub.
Periodontitida
Pokud je zubní dřeň dlouhodobě drážděná, může odumřít. Bakterie pak osídlí celou dřeňovou dutinu a přes otvory v kořenových hrotech se šíří dále do kosti a do krevního řečiště. Krví se infekce může dostat i k srdci nebo k mozku, kde pak hrozí závažné, život ohrožující komplikace. Proto by se tyto záněty neměly podceňovat a zub je třeba kvalitně endodonticky ošetřit nebo při větší viklavosti vytrhnout.
Pokud dráždění a odumírání dřeně probíhá pomalu, nemusí si toho být pacient vědom. Zánět rozpustí kost kolem hrotu kořene a my tuto skutečnost můžeme objevit při kontrolním rentgenovém snímku. Časem se hnis šíři skrz kost a zastaví se až pod okosticí (blánou obepínající kost). V takovém případě dochází opět k velkému nárůstu tlaku, což se projeví intenzivní bolestivostí. Zub je při skusu a na poklep velmi citlivý. Pokud hnis okostici proděraví, může pak volně odtékat přes sliznici do dutiny ústní nebo přes kůži do oblasti obličeje (vzniká tzv. píštěl) a bolest na čas ustoupí. V kosti stále zůstává zánětlivé ložisko a potíže se mohou opakovat.

Cílem endodoncie je dokonalé odstranění infikované zubní dřeně, chemicko-mechanické očištění stěn kořenového kanálku a hermetické vyplnění dřenové dutiny. Tím je bakteriím zabráněno v průniku z dutiny ústní do kosti a poškozená kost se může vyhojit. (Na obrázku je světelný ultrazvukový přístroj pro citlivé, přesné a přehledné opracování dřeňové dutiny, který je ideální v kombinaci s využitím operačního mikroskopu).
Je třeba si uvědomit, že průběh a šířka kořenových kanálků nebývají u skutečných zubů pro opracování tak příznivé jako naše zjednodušené ilustrační obrázky výše. Kanálky se mohou různě esovitě zahýbat, větvit a zase spojovat. Na průřezu mohou být v jedné části kruhové, dále pak oválné, tvaru písmena C nebo osmičkové. Počet kanálků v jednotlivých kořenech se navíc u různých lidí liší. Šířka kanálku může odpovídat průměru vlasu nebo díky dlouhodobému dráždění a v pozdním věku je někdy kanálek obliterován (uzavřen) zcela. Pak je obtížné jej vůbec nalézt. Proto je kvalitní endodontické ošetření jedním z nejnáročnějších výkonů v zubní ordinaci a jeho úspěšnost nemusí být ani při pečlivém provedení vždy 100%. Úspěšnost ošetření se výrazně zvyšuje při použití operačního mikroskopu.
Dřeňová dutina, ze které vystupují kořenové kanálky bývá obvykle malá, málo přehledná a těžko lze běžným ordinačním světlem dostatečně osvětlit. Operační mikroskop umožňuje mnohonásobné zvětšení dřeňové dutiny i vstupu do jednotlivých kanálků. Lékař pak vidí konkrétní detail o velikosti asi jako kopací míč. Práce je pak mnohem přesnější a detailnější. Operační mikroskop navíc přes svoji optiku svítí do dřeňové dutiny silným LED světlem, což je pro přenos obrazu klíčové.
Pokud lékař nepoužívá zvětšovací techniku, pracuje víceméně jen odhadem - po hmatu. Tak se často stává, že nejsou vyčištěna všechna zákoutí dřeňové dutiny, nejsou nalezeny vstupy do všech kořenových kanálků, není provedeno dostatečné rozšíření jejich vstupů. V neopracovaných místech přežívají bakterie, zánět v kosti kolem zubu se nevyhojí, nebo se časem ještě rozšíří. Bez operačního mikroskopu se také zvětšuje riziko zalomení kořenového nástroje.

Při opracování kořenového kanálku je důležité, aby výplň nebyla krátká (ve zbytku kanálku pak přežívají bakterie), ani dlouhá (pak přesahuje délku kořene a ční do kosti, kde dráždí). Proto používáme pro určení správného místa, kde má končit, speciální přístroj, tzv. apexlokátor (nový typ Raypex 5). Lze použít za všech podmínek (sucho, vlhko, sekret, všechny běžné vyplachovací roztoky atd.). Tento přístroj přesně určí pracovní délku kořenových nástrojů, nahradí několik rentgenových snímků a tak zároveň chrání pacienta před zbytečným ozařováním. Závěrečnou kontrolu provedeme na rtg snímku s digitálním senzorem, který je mnohem citlivější než běžný film. Proto stačí mnohonásobně menší dávka záření a pacient je minimálně exponován.

Pokud se nám podaří vstupy do kanálků nalézt, opatrně je rozšiřujeme ručními nástroji a postupujeme do hlubších částí kanálku. Během práce stále vyplachujeme dezinfekcí a používáme chelační činidla na bázi EDTA usnadňující průchod. Délku nástroje v kanálku kontrolujeme pomocí apexlokátoru.

Když dosáhneme hrotu kořene, přecházíme na strojovou endodoncii. Jedná se o sérii speciálních vrtáků z nikl-titanové slitiny a endomotoru - vrtačky přímo určené na kořenové kanálky. Vrtáky z Ni-Ti jsou velmi pružné a lze s nimi opracovávat i hodně zakřivené kanálky. Na endomotoru používáme pro každý vrták jiný program, ve kterém je nastavena správná rychlost a torze (síla, jaká může být při rotaci pro konkrétní vrták vynaložena). Pokud přístroj zaznamená napětí, při kterém by hrozilo oddělení hrotu vrtáku, sám se zastaví a vytočí vrták o kousek zpět. Tím se snižuje možnost oddělení nástroje na minimum.
Po opracování kanálků a jejich důkladné dezinfekci použijeme pro vysušení nasákavé, kalibrované papírové čepy, které odpovídají tvaru posledního vrtáku. Dutinu vytřeme speciální pastou na bázi epoxidových pryskyřic a vtlačíme hlavní gutaperčový čep, který tvarem odpovídá poslednímu vrtáku a jehož délka je naměřena pomocí apexlokátoru. Poté si tenkým nástrojem vedle hlavního čepu vytváříme dutinky, do kterých vkládáme další - pomocné čepy. Tímto tlakem se pasta dostává i do postranních větviček k. kanálku. Přebytky gutaperčových čepů, které jsou mimo vlastní kanálek na závěr odstraníme pomocí indukční upalovačky. Endodontická pasta ztuhne do druhého dne. Výsledkem by měl být dokonalý hermetický uzávěr kořenového kanálku. (Dnes už používáme pouze metodu vertikální kondenzace za tepla - snížení rizika prasknutí kořene)

Pro co nejdokonalejší 3D vyplnění kořenových kanálků v současné době používáme převážně metodu vertikální kondenzace gutaperči. Pomocí moderního přístroje BeeFill 2in1 jsme schopni roztavit část hlavního čepu v oblasti hrotu kořene, kterou pak můžeme tlakem nakondenzovat do postranních kanálků. Zbytek kanálku se vyplní nástřikem teplé gutapeči z kartuše ohřáté na 200°C a opět se vertikálně kondenzuje.
Použití gutaperči je velmi důležité. Pokud by byla užita pouze pasta, nacházely by se v ní bubliny, které by byly osídleny bakteriemi. Druhý důvod je, že přes zatuhlý cement je velmi obtížné kanálek bez gutaperči při potížích znovu zprůchodnit. Může pak snadno dojít k nechtěnému provrtání stěny kořene. Stejně tak je s gutaperčovou výplní bezpečná i preparace na trn kořenové nástavby.
Po dokončení endodontického ošetření je zub dutý a náchylný k rozlomení. Proto je jeho doplnění amalgámem nevhodné - amalgám se k zubu nenalepí. Pokud je síla stěn dostatečná, lze ve vhodných případech použít fotokompozitní výplň, která se nalepí na stěny a tak je navzájem sváže a zub zpevní. Síla vazby působí proti rozlomení. Ještě větší trvanlivost má kořenová nástavba (dnes spíše plastická dostavba se sklolaminátovým čepem) a korunka. Korunka obemkne krček zubu jako obruč a a brání rozlomení zubu.
Příklad z praxe:
Do naší ordinace se dostavila slečna s bolestí dolní šestky. Nevěděla, proč jí zub bolí, když už byl nerv vytažen předchozím lékařem. Zhotovili jsme rentgenový smímek a zjistili, že kanálky sice někdo plnil, ale nedokonale. Jednalo se pravděpodobně o situaci, kdy lékař ve snaze o co nejnižší cenu ošetření zvolil nejrychlejší variantu a dal přednost kvantitě před kvaliltou. Takové ošetření může sice krátkodobě fungovat, ale většinou se později vymstí.
Při opakovaném plnění kanálků pak vždy existuje riziko proděravění stěny kořene s hrozbou ztráty zubu (obzvlášť pokud byl při původním zaplnění použit místo měkkých gutaperčových čepů nějaký tvrdý cement). Ne ve všech případech lze dosáhnout dokonalé kořenové výplně, ale měli bychom se vždy již primárně snažit o co nejlepší ošetření kořenových kanálků, byť to může trvat i několik hodin a cena zákroku je vyšší. Nejlépe za pomoci operačního mikroskopu. Vlastní - dobře endodonticky ošetřený zub může být lepší (a hlavně levnější), než implantát z cizorodého materiálu. Na druhou stranu, pokud je již zub poškozený do takové míry, že okraj výplně nebo korunky leží v kompromisní oblasti, je pak metoda ošetření pomocí zubního implantátu dlouhodobě spolehlivější.

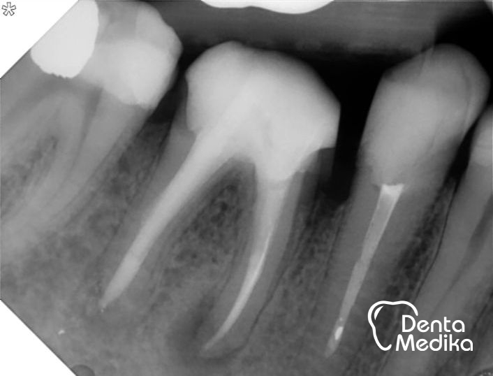
Nekvalitní zaplnění Reendodoncie - u stejného
kořenových kanálků zubu kanálky pročištěny
- v nedoplněných a znovu zaplněny - přesně,
místech přežívají až po hroty kořenů
bakterie
Po pročištění a znovuzaplnění kořenových kanálků bolest ustoupila a zánět v kosti se vyhojil. Defekt byl doplněn fotokompozitní výplní a zub je již několik let bez potíží.
Příklad 2 - hojení kosti po endodoncii
Jak bylo uvedeno výše, zánět v kosti kolem zubu s odumřelou dření se může vyhojit pouze po dokonalé dezinfekci systému kořenových kanálků a jejich hermetickém uzavření. Jen tak je z kanálků odstraněn rezervoár bakterií, které se jinak nerušeně množí a pronikají do okolní kosti. Uvnitř nevitálního zubu již není krevní zásobení, tudíž zde nefungují obranné mechanismy zprostředkované krevními buňkami. Okolní kost však prokrvená je, takže se může po ukončení migrace bakterií ze zubu zhojit.
Na prvním obrázku je vidět kostní defekt, zejména u zadního kořene a v prostoru mezi kořeny (tmavá místa) - rentgen je pořízen ihned po endodontickém ošetření. Na druhém obrázku je stav při kontrole za půl roku. Pacient zároveň chodil na ošetření k dentální hygienistce. Výsledkem je pevná kost bez zánětu, která obklopuje hroty kořenů a dostává se i do mezikořenového prostoru. Lze předpokládat ještě další zlepšení stavu v závislosti na čase. (Práce Dr. Holubjakové, plněno ještě starší metodou - Laterální kondenzace. Dnes již používáme, k prasknutí kořene méně rizikovou, metodu Vertikální kondenzace za tepla, pomocí přístrojů typu BeeFill.)
Vid. 1 - Pacient k nám přišel od jiného lékaře s požadavkem na kvalitní ošetření kořenových kanálků zubu pod starším můstkem. V jednom z kanálků byla zalomena špička kořenového nástroje, což znesnadňovalo pročištění kanálku až po hrot kořene. Řádná endodoncie byla podmínkou dalšího fungování zubu, a tedy i celého můstku. Nástroj se nám podařilo odstranit a kanálky správně zaplnit. Proběhla také dentální hygiena s odstraněním poddásňového zubního kamene, byl opraven kaz pod korunkou a zub byl zevnitř vyztužen sklolaminátovým čepem. Nyní je pravděpodobné, že můstek může sloužit dál ještě několik roků.
Příklad 4 - Vyjmutí zalomeného nástroje z kosti pod zubem



Příklad 5 - Odstranění zlomených kořenových nástrojů pod zubem
přes zubní kanálek - reendodoncie

Obr. 1 - Zlomené kořenové nástroje pod zubem, chronický zánět kosti.

Obr. 2 - Odstranění zlomených fragmentů nástrojů a starých kořenových výplní ortográdně
- skrz kořenové kanálky pod mikroskopem. Zaplnění hrotu kořene pomocí biokompatibilního
cementu MTA. Vyztužení zubu sklolaminátovým čepem a kompozitní dostavbou.
V další fázi bude zub ještě zpevněn korunkou, která jeho krček obemkne jako obruč.
Kost postižená zánětem by se měla postupně zahojit.
